Victoria & Area Directory. Your Destination for Deals, Offers & Coupons
Having any issue? Contact us

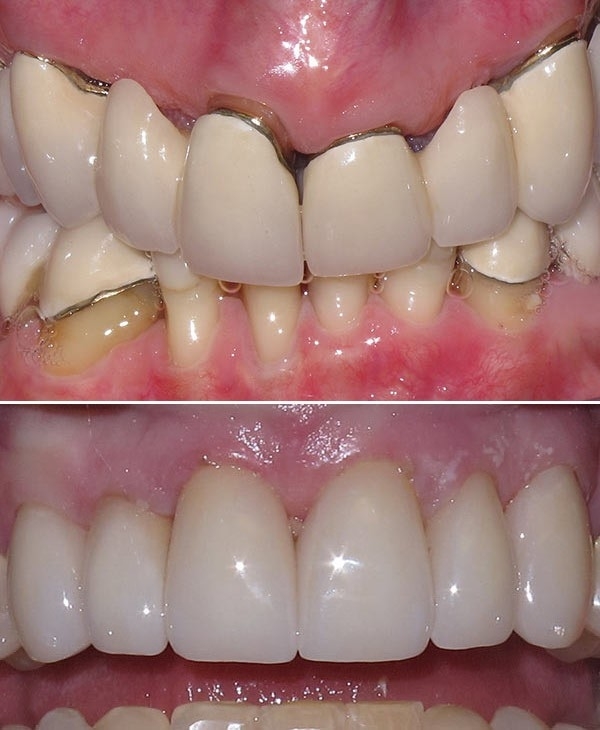
My Victoria Dentist


Description:

Reviews

img img img img img 4.8
  • img
    Ali S img 5

    Great team, super organized and professional. Shout-out to Dr Batool Mohammad who wad super helpful and kind. Thank you team!

  • img
    Bridget Freeman img 5

    excellent service from Dr. Bell & his team.

  • img
    mabel bill img 5

    I like Dr Bell maybe 5 years ago he has granted me with a great smile, I feel so much better. I believe I can not thank him and the staff enough for my great smile. I'd highly recommend him with his wonderful work. Thank you kindly for my smile Dr Benjamin Bell

  • img
    gloria jean img 5

    Dr Bell provided excellent workmanship and precision on my new implant. From beginning to end, he was a true professional and gave good practical advice on my problematic molar. Thank you Dr Bell - I no longer have to bite my inner cheeks!

  • img
    Greg Gale img 4